HomeProductPublications
About UsNewsCareersMedia Kit
Contact Us Login Book a Demo

Your AI Echo Copilot™

AI-powered solutions transforming cardiovascular diagnostics with precision, speed, and accessibility.

app.us2.ai/report/echo-analysis
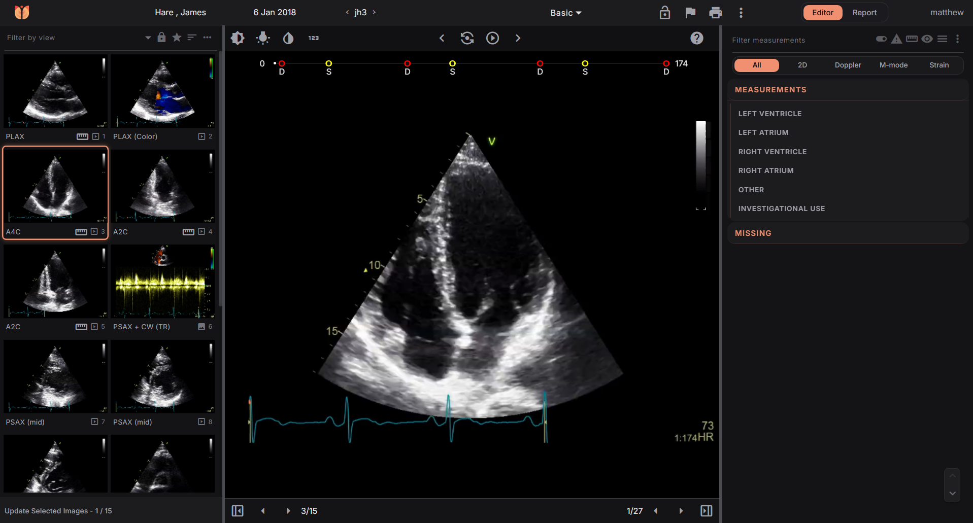
Us2.ai Echo Editor

Transforming Cardiovascular Care with AI

Us2.ai develops clinically validated AI solutions that automate echocardiography analysis, enabling faster, more accurate diagnoses across healthcare systems worldwide.

Enhanced Accuracy

Our AI algorithms achieve clinician-level accuracy, significantly reducing diagnostic errors and inter-observer variability in echocardiographic interpretation.

Secure & Compliant

Enterprise-grade security with GDPR, HIPAA, and ISO 27001 compliance. Your patient data is protected with industry-leading encryption and privacy standards.

Global Accessibility

Making world-class cardiac diagnostics available everywhere. Our cloud-native platform brings specialist-level echo analysis to hospitals of any size, anywhere.

Us2.ai is making a difference in healthcare systems worldwide

0
Countries
0
Hospitals
0
Scans Analyzed
0
Accuracy Rate
Us2.ai global presence

Addressing Critical Challenges in Cardiovascular Disease

01

Rising Global Burden

Cardiovascular disease remains the leading cause of death globally, claiming nearly 18 million lives each year. Early and accurate diagnosis is critical to reversing this trend.

02

Limited Access to Specialists

Many regions around the world lack experienced cardiologists and sonographers. Millions of patients go undiagnosed simply because expert interpretation is unavailable.

03

Diagnostic Variability

Inconsistent interpretation of echocardiograms across operators leads to delayed diagnoses, missed pathologies, and suboptimal patient outcomes.

Our AI-Powered Solution

Designed to enhance your echocardiography workflow

Fully Automated Echo Analysis

No frames to select, no annotations to click, just pure AI-driven automation from DICOM upload to final report.

Learn More

Standardized, Consistent Results

Zero variability. AI-driven measurements eliminate operator variability, delivering reproducible results every time.

Learn More

Clinician-Level Accuracy

Validated in global datasets across diverse populations to ensure high clinical confidence in every measurement.

Learn More

Workflow Efficiency & Time Savings

Streamlines routine echo analysis and reduces manual workload, freeing clinicians to focus on complex cases and patient care.

Learn More

Scalable Across Settings

Suited for hospitals, multi-center studies, and clinical trials. Deploy across your entire organization with ease.

Learn More

Flexible Deployment

Available on cloud, on-premise, or integrated directly into your existing PACS and reporting systems.

Learn More

Trusted by Healthcare Professionals Worldwide

Marianna Fontana
Professor of Cardiology, National Amyloidosis Centre, University College London
Cardiac amyloidosis remains a frequently under-diagnosed condition with significant prognostic implications. Us2.ai's AI-based pattern recognition model, applied to a standard apical four-chamber view, provides a promising solution.
Jeremy Slivnick
Assistant Professor, Division of Cardiovascular Medicine, The University of Chicago Medicine
Us2.ai's platform already provides powerful automated measurements that support the detection of cardiac amyloidosis. But this new deep learning approach moves beyond standard measurement workflows by enabling fast, fully automated detection.
Becky Schwaegler
Cardiac Sonographer Specialist / Lead
From my personal experience, I have felt very fortunate to be able to use Us2.ai – a remarkable platform... I am truly amazed with its speed, overall accuracy and ease.
Ilya Karagodin
General and Advanced Imaging Cardiologist, Endeavor Health, USA
This advanced technology leverages AI to deliver consistent and fast imaging analysis, empowering us to accelerate informed treatment decisions for our patients.
Nobuyuki Kagiyama
Associate Professor, Dept. of Cardiovascular Biology and Medicine, Juntendo University
AI provides a consistent 'gold standard' that can be uniformly applied to all examinations, significantly reducing variability...
Deepak Borde
Cardiac Anesthesiologist, United CIIGMA Hospital, India
I can't take my eyes off those images, and I can't believe I could get them with ZERO CLICKS!
Le Minh Khoi
Associate Professor, Head of Cardiovascular Imaging, University of Medicine and Pharmacy Hospital, Ho Chi Minh City
AI can significantly shorten the diagnosis time from 35-40 minutes to about 10 minutes. This helps reduce the workload for medical staff, limit errors as well as save treatment costs.
Sreekanth Vemulapalli
Associate Professor of Medicine, Duke University
The US2 software could enable the use of echocardiography in screening or as a procedure at an accelerated pace and in a cost-effective manner.
Chris Mansi
CEO, Viz.ai
We are proud to partner with Us2.ai to enhance and complement our comprehensive AI platform, tailoring it to cardiovascular needs, so that cardiologists and care teams can provide optimal care to more patients most efficiently.
Elad Walach
CEO, Aidoc
Our partnership with Us2.ai allows our health system partners to further expand the clinical value of AI to cardiac care. Health systems cannot work with thousands of AI point solutions for each service line. Our aiOS allows health systems to think strategically about AI and build an end-to-end intelligence layer across the health system.
Daniel Cehic & David O'Donnell
CMO & CEO, Advara HeartCare
Partnering with Us2.ai, we are excited to investigate how AI can enhance our diagnostic capabilities and optimize the experience and clinical outcomes for our patients.

Building trust through secure data, protected privacy, and continuously updated compliance

GDPR & HIPAA Compliant

Protecting patient data with global privacy standards

ISO 27001 Certified

Industry-leading information security practices

SOC 2 Type II

Proven security controls to keep your data safe

MDSAP Certified

Ensuring medical device safety and regulatory compliance

Ready to Transform Your Cardiac Workflow?

Join leading healthcare institutions worldwide using Us2.ai to improve patient outcomes

Book a Demo

Let's discuss how Us2.ai can transform your cardiac imaging workflow.

Address 163 Tras Street #09-04
Lian Huat Building
Singapore 079024
Phone +65 6232 7857
Email info@us2.ai